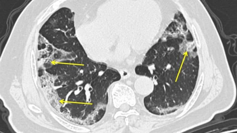
За тиждень МОЗ зафіксувало 22,4 тисячі пневмоній
12 жовтня 2020, 10:56

За тиждень із 5 до 11 жовтня в Україні діагностували 22,4 тисячі пневмоній, з середини липня цей показник зріс у 5 разів.
Джерело: міністр охорони здоров'я Максим Степанов на брифінгу 12 жовтня
Пряма мова Степанова: "У нас суттєво збільшилася кількість людей із пневмоніями. За минулий тиждень - це 22 400 осіб. Для розуміння: за тиждень з 13-го до 19-го липня у нас загалом було 4 234 пневмоній .Ви бачите, що більше ніж у 5 разів (зросла кількість)".
Реклама:
Деталі: Голова МОЗ констатував, що зростає і кількість людей, які захворіли, і кількість госпіталізованих хворих.
Крім того, за минулий тиждень методом ПЛР було здійснено 202 998 тестувань. До цього найбільша кількість тестувань була два тижні тому - 188 349.
Шановні читачі, просимо дотримуватись Правил коментування